
Фиссурный кариес – это одна из самых ранних и распространенных форм кариозного поражения зубов. Он поражает фиссуры – естественные ямки на жевательной поверхности элементов зубного ряда. За последние 10 лет отмечается увеличение распространенности фиссурного кариеса, переходящего на 8-10 году жизни пациента в осложненную форму (пульпит, периодонтит).
Герметизация фиссур – современный и эффективный метод профилактики кариеса. Она проводится путём запечатывания фиссур герметиком – специальным пломбировочным материалом - без нарушения целостности эмали. Частички еды застревают в фиссурах, в них поселяются бактерии, что очень быстро вызывает кариес. Герметики предотвращают застревание еды в фиссурах и питают эмаль, помогая ей сформироваться здоровой.
Для чего нужны герметики?
Когда прорезываются первые постоянные жевательные зубы, эмаль в области фиссур (естественных ямок между буграми зубов) до конца не сформирована. Ученые установили, что созревание эмали, то есть её утолщение происходит в течение 2-3 лет после появления зуба в ротовой полости. Частички еды застревают в фиссурах, в них поселяются бактерии, что очень быстро вызывает кариес. Герметики предотвращают застревание еды в фиссурах и питают эмаль, помогая ей сформироваться здоровой.
Что такое герметики?
Герметики - это специальные пломбировочные материалы, которыми заполняют фиссуры на жевательных поверхностях зубов. Наши герметики содержат фтор, что позволяет осуществить длительное местное фторирование. Такой метод очень надёжен, он не занимает много времени и защищает зубы на долгие годы.
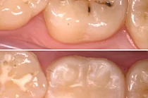
Как проводится герметизация фиссур?
Это совершенно безболезненная процедура. Всё делается за одно посещение.
• Поверхность зуба тщательное очищается с помощью щёточки и специальной пасты, затем с помощью пескоструйного аппарата.
• Далее на зуб наносится сглаживающая паста или гель, которые тончайшим слоем выравнивают поверхность зуба.
• Через 15 секунд паста или гель тщательно смываются водой.
• После того, как поверхность высыхает, на абсолютно чистую фиссуру наносится материал для запечатывания (герметик) и высушивается до затвердевания с помощью специальной светополимерной лампы.
Какие новейшие технологии обеспечивают качественную герметизацию?
"DIAGNOdent" - аппарат, с помощью которого проводится тщательная диагностика состояния фиссуры на предмет выявления начальных форм кариеса, т.е. подлежит зуб герметизации или нет.
Пескоструйный аппарат "Ka Vo PROPHYflex" - поверхность зубов обрабатывается находящимся под давлением воздушным потоком и струеё воды с мельчайшими шарообразными частичками порошка Ka Vo PROPHYpearls, который попадает даже в укромные уголки зубов и фиссуры, отбивает все микрочастицы, осевшие на них. В результате чего достигается абсолютная чистота зубов. Порошок относительно мягкий и не травмирует зубную эмаль.
Каков срок эксплуатации герметиков?
Исследования показали, что герметики будут работать много лет, если за ними правильно ухаживать. Если Ваш ребёнок поддерживает гигиену полости рта, не имеет вредной привычки грызть твёрдые предметы, герметики прослужат долго. Ваш гигиенист будет проверять состояние герметиков при каждом посещении и порекомендует замену или ремонт герметика, если необходимо.
На какие зубы надо накладывать герметики?
Нормальный поток слюны обычно справляется с очищением гладких поверхностей зубов, но ему бывает трудно очистить неровные поверхности. Поэтому, наиболее уязвимые зубы, нуждающиеся в покрытии - это первые постоянные моляры. Иногда герметики требуются и молочным зубам. Любому зубу, имеющему неровную или шероховатую поверхность, не помешает герметик. Поговорите об этом со своим детским стоматологом или гигиенистом, так как каждый ребёнок уникален.
Если у моего ребёнка стоят герметики, нужно ли ему пользоваться зубной нитью?
Конечно! Герметики - лишь первый шаг в защите зубов Вашего ребёнка от кариеса. Чистить зубы два раза в день, использовать зубную нить, правильно питаться, не перекусывать между основными приёмами пищи и регулярно посещать стоматолога - необходимые меры профилактики, и с герметиками, и без них.
Результаты исследований
Научные исследования доказали, что правильно проведённая процедура на 100% эффективна в защите поверхности зуба от кариеса, поскольку служит физическим барьером возможного разрушения. Зубы, которые запечатывались, в дальнейшем значительно меньше подвержены образованию кариеса, чем те, что никогда не обрабатывались.
Запечатывание эффективно в течение 5 лет, но может сохранять свои свойства на срок до 10 лет. Отчёты врачей показывают, что спустя 7 лет после запечатывания около 49% зубов остаются полностью запечатанными. Но запечатывание не должно рассматриваться в качестве постоянной процедуры. Необходимы регулярные посещения стоматолога для профилактического осмотра, что позволит контролировать состояние запечатанных зубов.
Герметизация фиссур входит в перечень услуг, оказываемых детям в рамках ОМС. Данную услуга выполняется по показаниям в любой медицинской организации, оказывающей стоматологическую помощь детям в рамках территориальной программы. В их числе - «Городская детская стоматологическая поликлиника», а также школьные стоматологические кабинеты в 20 учебных учреждениях г. Калининграда.
Дата публикации: 03.10.2022